Instituto Cruzeiro do Sul

Projeto Sorrindo e Olhando para o Futuro 2025-2026

 O Projeto Sorrindo e Olhando para o Futuro visa promover a saúde bucal de crianças e adolescentes. A saúde bucal tem íntima relação com a saúde geral do ser humano, pois a boca interage com todas as estruturas do corpo. Componente fundamental da saúde e do bem-estar físico e mental, a saúde bucal inclui a capacidade de falar, sorrir, saborear, mastigar, engolir e transmitir uma variedade de emoções, com confiança e sem dor ou desconforto e sem doença do complexo craniofacial, com repercussão na qualidade de vida. Na região Centro-Oeste, 78,4% da população adulta necessita de tratamento odontológico, número maior que a média nacional, reforçando a necessidade de cuidados acessíveis.

Escopo do Projeto:

Promover o atendimento na área de Odontologia com atendimentos preventivos, curativos e orientações de saúde bucal para pacientes de 2 até 12 anos de idade incompletos; e Oftalmologia de pacientes de 5 até 17 anos de idade, de forma itinerante no município de Goiânia, junto à Secretaria Municipal de Saúde, para complementação das despesas com o serviço de atendimento presencial aos munícipes da cidade de Goiânia, melhorando o acesso aos serviços de saúde e promovendo o bem-estar de crianças e adolescentes em situação de vulnerabilidade social.

Para executar este projeto, foram direcionadas várias emendas parlamentares municipais de vereadores diversos de Goiânia, de natureza impositiva, com gestão da Secretaria Municipal de Saúde de Goiânia – GO, com a qual assinamos os seguintes Termos de Compromisso, todos com vigência prevista de 12 meses:

 – Termo de Compromisso nº 086/2025, em 15/10/2025, com orçamento de R$ 600.000,00;

 – Termo de Compromisso nº 084/2025, em 15/10/2025, com orçamento de R$ 800.000,00;

–  Termo de Compromisso nº 137/2025, em 31/10/2025, com orçamento de R$ 500.000,00;

–  Termo de Compromisso nº 085/2025, em 15/10/2025, com orçamento de R$ 258.000,00;

–  Termo de Compromisso nº 109/2025, em 15/10/2025, com orçamento de R$ 500.000,00;

–  Termo de Compromisso nº 082/2025, em 15/10/2025, com orçamento de R$ 1.000.000,00

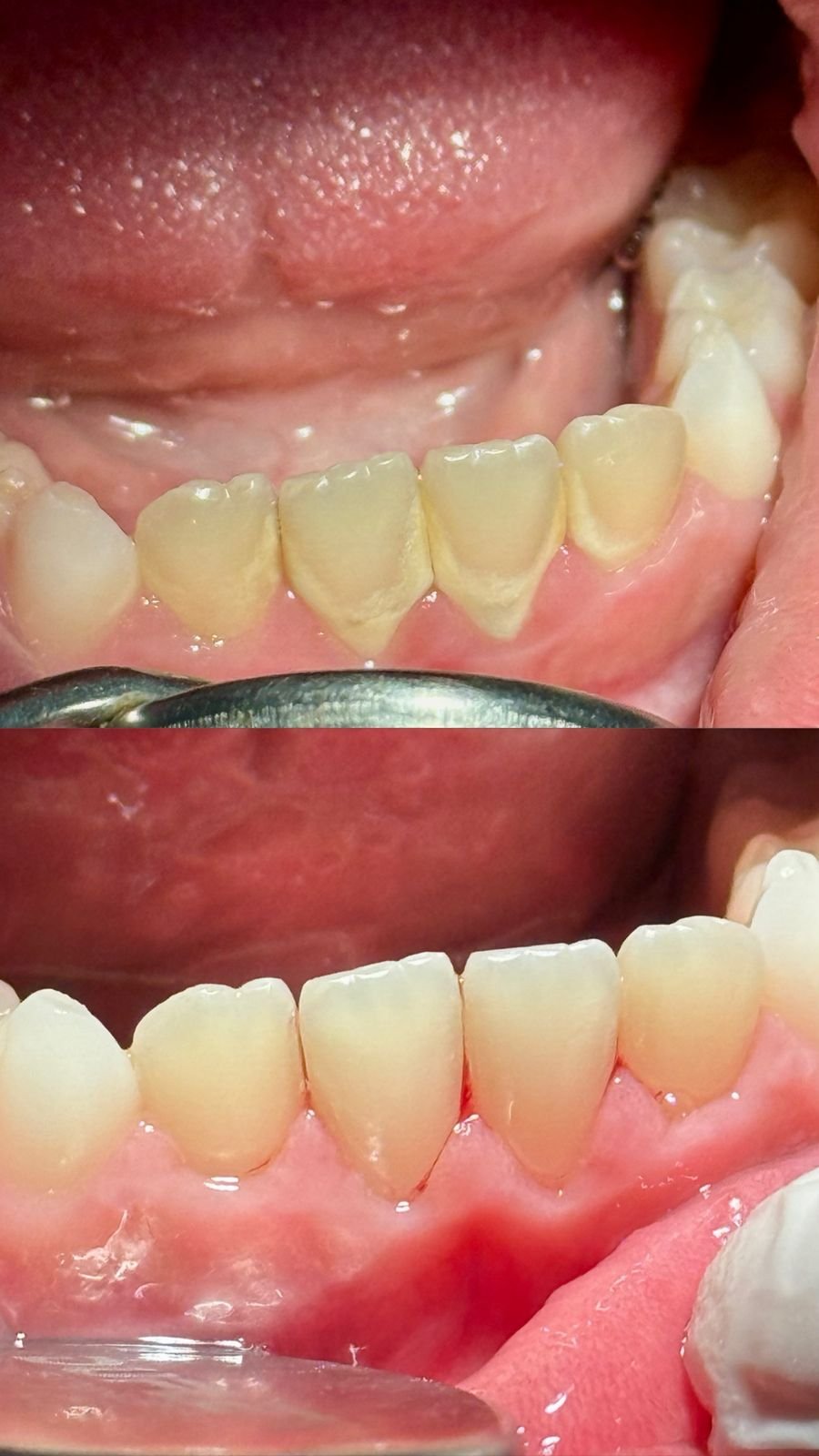
O atendimento odontológico, registrado abaixo, está sendo realizado e será concluído no decorrer do ano de 2026. As crianças de famílias carentes contempladas nesta ação são de bairros diversos de Goiânia, e estão todas matriculadas na rede pública de ensino municipal. 

 

Deixe um comentário

O seu endereço de e-mail não será publicado. Campos obrigatórios são marcados com *